
Mouth
- Mouth-breathing,
- Mouth dryness,
- Reduced saliva,
- Oral dysbiosis, which is a harmful imbalance of the microflora of the oral cavity,
- Halitosis, which is bad breath,
- Seriously sour breath,
- A newly identified condition known as maskmouth, in which many of the conditions in this section occur simultaneously, seemingly caused by face mask wearing,
- Decaying teeth,
- Dental caries, which are more commonly known as cavities,
- Mask-induced dental problems,
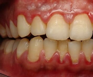
- Receding gum lines,
- Gum disease,

- Gingivitis, which is inflammation of the gingiva, the lining of the gums around the base of the teeth,
- Cheilitis, which is inflammation of the lips,
- Angular cheilitis, which is the breaking down of skin at the corners of the mouth,
- Cracking and sores at the corner of mouth,
- Increased risk of Group A Streptococcus infections,
- Candidiasis of the mouth, which is fungal infestation of the mucous membranes with Candida albicans,
- Periodontal disease, which is illness of the support structure around the teeth,
- Superficial and relatively harmless pathogens in the oral flora
are caused to be harmful when they access deeper tissues and the blood - Impaired vocal cord coordination,
- Aggravation of facial trauma,
- Harm to oral and maxillofacial surgery patients (The maxilla is the upper jaw; oral and maxillofacial surgery is surgery of the mouth, bones of the mouth, and face, and may extended into other portions of the head.).

In his book Face Masks Hurt Kids, Lou Rockwell indicates some issues of wearing mask can be minor. Some issues are major.
“The broad takeaway from this list for me is that there is no longer any way to say that a face mask is safe for any man, woman, or child to wear,” Rockwell wrote. “Masks are least safe for anyone frail such as the sick, the elderly, and children to wear.”
“There is no excuse to let a person force a mask on your child, not just to get through the door, not because I’m in a hurry, not to avoid an uncomfortable conversation, not just to visit grandma, and certainly not just to get through the day at school. Allowing such behavior is negligent and needs to be stopped. We need to have the hard conversations that stop it. We cannot keep avoiding the issue: people in authority demand the right to place this unquestionably harmful medical device on our children and on others.”

“If we cannot summon the will and the wherewithal to stand up for the children in our lives, we have little hope of standing up for the rest of society.“
Please Support These American Owned Businesses
___________________________
Get Your Natural Vitamins A & D from the Sea!


___________________________




Goettle HVAC and Plumbing services are located in Phoenix, Tucson, San Antonio, Austin, Las Vegas areas as well as regions in Southern California.


[…] List of Mouth Problems From Wearing Masks — Clever Journeys […]
LikeLiked by 1 person
And don’t forget the most harmful disease that’s come about with the mask wearing: Jokama, sometimes referred to as Foot-in-Mouth disease.
LikeLiked by 1 person
So very true. Hope to find a cure soon.
LikeLike
[…] List of Mouth Problems From Wearing Masks — Clever Journeys […]
LikeLiked by 1 person