In the three years after COVID jabs were unchecked and released onto the masses, there have been 5,137 reported cases of cerebral thromboembolism (CTE) following the injections.

Brain clots have increased by a shocking 72,200% among people who have received Covid mRNA shots.
Furthermore, women have a higher risk than men of developing a CTE following COVID injection.
Comparatively, flu shots over the past 34 years have only caused 52 cases of CTE.
A population-based retrospective cohort study looked at CTE rates from the Vaccine Adverse Event Reporting System (VAERS) database between Jan. 1, 1990, and Dec. 31, 2023.

VAERS is managed by the U.S. Centers for Disease Control and Prevention (CDC) and the U.S. Food and Drug Administration (FDA).
Over the past 34 years, all vaccines combined have only caused 282 CTEs compared to 5,137 CTE cases caused by COVID injections over the course of just three years.
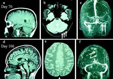
Atrial fibrillation, the most commonly identifiable cause of CTE, is also far more common following COVID jabs than it is for any other drug injection currently on the market.
This new study comes from renowned cardiologist Dr. Peter McCullough and several colleagues. It reveals that Covid “vaccines” are far more dangerous than seasonal flu shots when it comes to inducing cerebral thrombotic syndromes, also known as brain clots.

“There is an alarming breach in the safety signal threshold concerning cerebral thrombosis AEs after COVID-19 vaccines compared to that of the influenza vaccines and even when compared to that of all other vaccines,” the team wrote.

“An immediate global moratorium on the use of COVID-19 vaccines is necessary with an absolute contraindication in women of reproductive age.”
☆☆☆☆☆
IN GOD WE TRUST

Loralyn ‘Dodie’ & Jack Dennis
Thanks for supporting independent true journalism with a small tip. Dodie & Jack

Green Pasture Here!


Use Code CLEVER10 for a 10% discount on other Green Pasture products today!

CINDY LEAL MASSEY, TEXAS AUTHOR



The spin since statistics have been emerging is the spike in certain health issues are from having had COVIID.
LikeLike